Histology-World!


Histology Photo Album



Pineal gland, chicken – histology slide
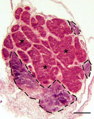
Histology of the pineal gland. Frozen section of the pineal gland stained with H&E. The pineal follicles (*) comprise pinealocytes and supportive cells arranged as epithelium. Prominent interstitial septa separate individual follicles. Several large accumulations of mononuclear (MN) cells, forming the PALT (bordered by the dashed black lines) are seen. Bar indicates 200 μm.

Citation: Mosenson, J.A., McNulty, J.A. Characterization of lymphocyte subsets over a 24-hour period in Pineal-Associated Lymphoid Tissue (PALT) in the chicken. BMC Immunol 7, 1 (2006). https://doi.org/10.1186/1471-2172-7-1

Source: [url=https://bmcimmunol.biomedcentral.com/articles/10.1186/1471-2172-7-1]BMC Immunology article[/url]

Image title: "Figure 1"

No changes were made to the original image downloaded.  

This image and descriptive text are from an article published by [i]BioMed Central Ltd[/i]. It is an Open Access article distributed under the terms of the [url=https://creativecommons.org/licenses/by/2.0]Creative Commons Attribution License (CC BY 2.0)[/url], which permits unrestricted use, distribution, and reproduction in any medium, provided the original work is properly cited.

Pineal gland, chicken – histology slide

Histology of the pineal gland. Frozen section of the pineal gland stained with H&E. The pineal follicles (*) comprise pinealocytes and supportive cells arranged as epithelium. Prominent interstitial septa separate individual follicles. Several large accumulations of mononuclear (MN) cells, forming the PALT (bordered by the dashed black lines) are seen. Bar indicates 200 μm.

Citation: Mosenson, J.A., McNulty, J.A. Characterization of lymphocyte subsets over a 24-hour period in Pineal-Associated Lymphoid Tissue (PALT) in the chicken. BMC Immunol 7, 1 (2006). https://doi.org/10.1186/1471-2172-7-1

Source: BMC Immunology article

Image title: "Figure 1"

No changes were made to the original image downloaded.

This image and descriptive text are from an article published by BioMed Central Ltd. It is an Open Access article distributed under the terms of the Creative Commons Attribution License (CC BY 2.0), which permits unrestricted use, distribution, and reproduction in any medium, provided the original work is properly cited.

Copyright Histology-World and its licensors. All rights reserved .