Histology-World!


Histology Photo Album



Liver - histology slide
This is a histology slide of the liver. The pointer is on the central vein.

Image by Jpogi at English Wikipedia, via Wikimedia Commons. Public domain.

No changes were made to the original image downloaded (note: this version was downloaded at reduced resolution from Wikimedia Commons).

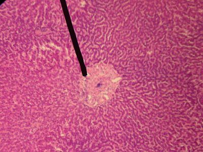
Liver - histology slide

This is a histology slide of the liver. The pointer is on the central vein.

Image by Jpogi at English Wikipedia, via Wikimedia Commons. Public domain.

No changes were made to the original image downloaded (note: this version was downloaded at reduced resolution from Wikimedia Commons).

Copyright Histology-World and its licensors. All rights reserved .