Histology-World!
Histology Photo Album
Home
Login
Histology Photo Album Home
Album list
Last uploads
Last comments
Most viewed
Top rated
My Favorites
Search
FILE 9/3760
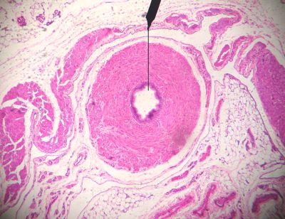
Vas deferens - histology slide
This is a histology slide of the vas deferens.
Original image by Jpogi at English Wikipedia, via Wikimedia Commons. Public domain.
Changes were made to the original image.
File information
Filename:
EDIT_800px-Vas_deferens.jpg
Album name:
sarah
/
Vas Deferens Histology
Filesize:
501 KiB
Date added:
Nov 23, 2025
Dimensions:
707 x 545 pixels
Displayed:
197 times
URL:
http://histology-world.com/photoalbum/displayimage.php?pid=5134
Favorites:
Add to Favorites
Copyright Histology-World and its licensors. All rights reserved
.