Histology-World!


Histology Photo Album



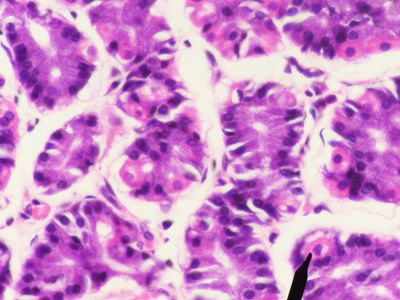
Stomach - histology slide
This histology slide of the stomach shows several parietal cells.

Image by Jpogi at English Wikipedia, via Wikimedia Commons. Public domain.

No changes were made to the original image downloaded (note: this version was downloaded at reduced resolution from Wikimedia Commons).

Stomach - histology slide

This histology slide of the stomach shows several parietal cells.

Image by Jpogi at English Wikipedia, via Wikimedia Commons. Public domain.

No changes were made to the original image downloaded (note: this version was downloaded at reduced resolution from Wikimedia Commons).

Copyright Histology-World and its licensors. All rights reserved .