Histology-World!


Histology Photo Album



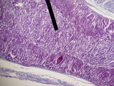
Adrenal gland - histology slide
The pointer is on the adrenal medulla.

Image by Jpogi at English Wikipedia, via Wikimedia Commons. Public domain.

No changes were made to the original image downloaded (note: this version was downloaded at reduced resolution from Wikimedia Commons).

Adrenal gland - histology slide

The pointer is on the adrenal medulla.

Image by Jpogi at English Wikipedia, via Wikimedia Commons. Public domain.

No changes were made to the original image downloaded (note: this version was downloaded at reduced resolution from Wikimedia Commons).

Copyright Histology-World and its licensors. All rights reserved .