Histology-World!
Histology Photo Album
Home
Login
Histology Photo Album Home
Album list
Last uploads
Last comments
Most viewed
Top rated
My Favorites
Search
FILE 45/72
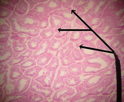
Testes - histology slide
This is a histology slide of the testis. The pointer is on Leydig cells.
Original image by Jpogi at English Wikipedia, via Wikimedia Commons. Public domain.
Changes were made to the original image.
File information
Filename:
EDIT_800px-Leydig_cells.jpg
Album name:
sarah
/
Testes Histology
Filesize:
103 KiB
Date added:
Nov 22, 2025
Dimensions:
500 x 411 pixels
Displayed:
158 times
URL:
http://histology-world.com/photoalbum/displayimage.php?pid=5118
Favorites:
Add to Favorites
Copyright Histology-World and its licensors. All rights reserved
.