Histology-World!


Histology Photo Album



Lung - histology slide
This is a histology slide of lung. The pointer is on a bronchiole.

Image by Jpogi at Wikipedia, via Wikimedia Commons.

No changes were made to the original image downloaded (note: this version was downloaded at reduced resolution from Wikimedia Commons).

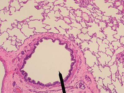
Lung - histology slide

This is a histology slide of lung. The pointer is on a bronchiole.

Image by Jpogi at Wikipedia, via Wikimedia Commons.

No changes were made to the original image downloaded (note: this version was downloaded at reduced resolution from Wikimedia Commons).

Copyright Histology-World and its licensors. All rights reserved .